健康体检发现肺部小结节,你真的了解吗?
如今好多人都越来越开始对于对于健康复检渐渐注重上去了,但是同时也发觉,越来越多的身边同学在健康复检中被查出了肺囊肿,看到肺囊肿好多人对此都是极其抑郁,开始渐渐的紧张上去。好多人害怕肺囊肿会恶化成肺炎?这么肺囊肿就是癌吗?我们一上去看癌症大夫对此是怎样说的吧。
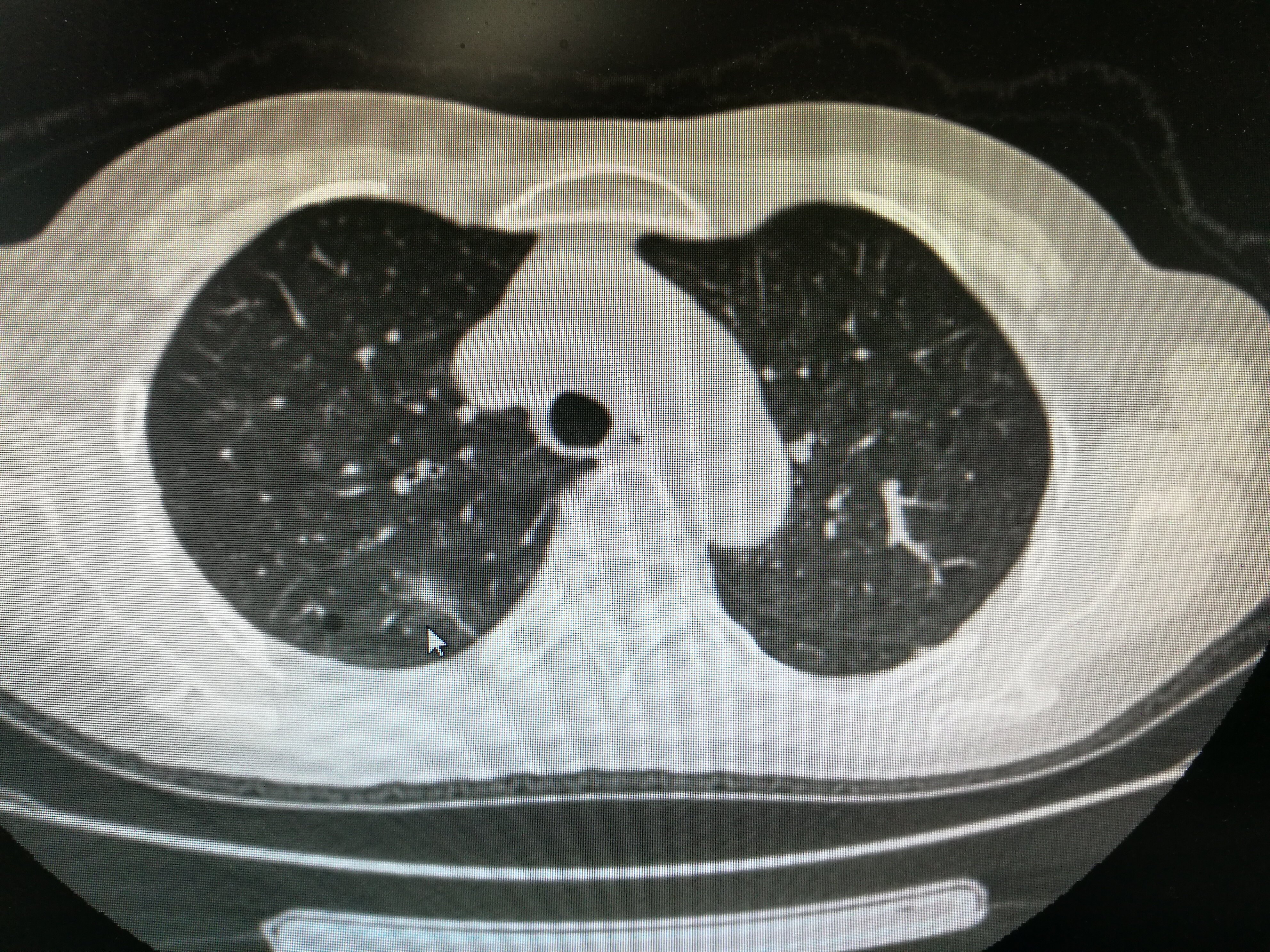
01、为什么越来越多人查出肺囊肿?
在5年曾经,人们做健康复检还基本都是用普通的拍片,因为拍片发现不了大于一cm的肿瘤,非常是磨玻璃样的肿瘤肺结节最怕三种运动较真,愈发是很难发现,因而,那种时侯测量的小结节特别少。但近来几年,随着CT越做越多,越来越多的小结节被找了下来。
02、发现肺囊肿就是肿瘤吗?
脑部小结节形成的缘由,就好象我们在这个世上生活了数六年,不断的被外界物质的侵犯,脑部损伤以后修补,所形成的良性的伤疤,或是良性的病变。

初次健康复检,尤其是年青的同学,毫无任何病症,仅是健康复检发觉脑部小结节,如果
与此同时,戒酒酒,晚睡起床,看下可不可以通过止痛,改变生活形式和行为习惯来使小结节缩小或是消失。如果这确实是一个才能通过止痛来去除的囊肿,这样就防止了过度放疗医治,过度医疗。
许多同学都认为脑部小结节切掉,就是割除这么一分米、两分米大小的肺下来。虽然,要切掉的肺组织是小结节的5~10倍,甚至要做整个胃壁摘除。
虽然是小结节进行放疗,损失的肺组织也比较大,放疗之后可能会出现乳房肿胀,头痛呼吸困难,常年呕吐,对生活水平质量影响还是非常显著的。
03、如何初期筛查肺囊肿?
虚度时光给我们的身体各方面机能带来一些损害,比方说毛发变白、细纹、牙齿松动⋯⋯这一些全部都是人体老化。也有少数脑部小结节的确是肿瘤,我们的确应当进行小结节初期筛查,初期确诊。

从40岁开始做CT筛查。不推荐40岁以下常规做脑部CT。最有效的手段还是低剂量的螺旋CT,幅射小,对小结节的发觉率是93%。
04、肺囊肿有必要做PET-CT吗?
常有肺囊肿患者问:“听说PET-CT能看见四肢的毛病,我有没有必要做一下,瞧瞧我的肺囊肿究竟是良性还是恶性的?”对于纯磨玻璃囊肿,虽然是恶性的,大多数为贴壁生长的细胞,这类细胞为惰性生长,代谢率很低。对于小的纯磨玻璃囊肿,PET-CT没有确诊价值;针对肺囊肿的早筛,穿刺造影和PET-CT对肺小结节没有优势,而食道镜除了有局限性还贵肺结节最怕三种运动较真,不仅以上三种形式外,鉴定肺囊肿良恶性,还有一种无创无幅射的鉴定方法,那就是CAC检查
它采用日本最权威癌症机构MD肿瘤中心专利技术,与传统方式相比,对初期乳癌、甚至是
假如你也有未进行良恶性鉴定的肺囊肿,不妨试一下!