肺原发性恶性黑色素瘤发病于40-70岁
恶性黑色素瘤是由黑色素细胞引起的神经外胚层肿瘤。皮外恶性黑色素瘤十分罕见,可起源于黏膜、眼睛、食道和脑膜。肺原发性恶性黑色素瘤多发病于40-70岁的成人,平均年龄为47岁。CT引导下肺部肿块细针抽吸细胞学检查显示为:恶性细胞,病理诊断为:肺恶性黑色素瘤。
恶性黄色素瘤是由白色素细胞导致的神经外胚层肉瘤。恶性白色素瘤占所有恶性脑瘤的1%,占皮肤恶性脑瘤的3%。皮外恶性黄色素瘤非常罕见,可起源于粘膜、眼睛、食道和颞叶。肺原发性恶性黄色素瘤多发病于40-70岁的成人恶性黑色素瘤图片,平均岁数为47岁。
病人基本情况介绍:
病人女性,64岁,因“咳嗽伴有血性痰和右手臂酸痛”入院。
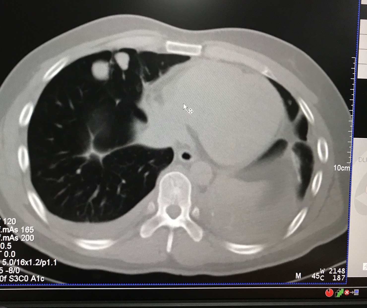
病人有40年的抽烟史,颈部CT扫描发觉右肺下叶有6.5cmx4.1cm的囊肿。住院前曾被当地诊所确诊有脑部感染,并用药物医治,但没有显著疗效。证实感冒、盗汗等病症,无脑部疾患史。
住院检测:

体格检测结果正常,未发觉其他异常,未发觉白色素痣、色素沉着或皮肤损伤。浅表淋巴结未浮肿。
实验室检测显示只有轻微的血小板增多症。
CT引导下肺叶囊肿细针抽吸细胞学检测显示为:恶性细胞,病理确诊为:肺恶性红色素瘤。
医治经过:
乳房病变眼科张力健校长为病人行“右肺下叶摘除术和系统性纵膈淋巴结清扫术”,摘除的病变大小为6.0cm×6.0cm×4.5cm恶性黑色素瘤图片,右下喉部界限清楚,病理否认为肺恶性红色素瘤。

医治结果:
病人每3个月急诊检查1次,放疗后12个月内无恶变。
(以上文章图片以获取包图网授权)
不感兴趣
看过了
取消
很赞哦 ()
- 上一篇: 父母在家判断宝宝脑瘫的七种方法,你知道吗?
- 下一篇: 皮肤恶性黑色素瘤的诊疗经验,你了解多少?